美國CIRS 074甲狀腺超聲訓練模體是超聲引導甲狀腺活檢程序的一次性訓練工具和練習媒介。CIRS 074甲狀腺超聲訓練模體還可用作識別各種類型甲狀腺結節和正確甲狀腺掃描技術培訓的教學工具。
關鍵字:CIRS 074,CIRS 074甲狀腺體模,美國CIRS甲狀腺體模
美國CIRS 074甲狀腺超聲訓練模體是超聲引導甲狀腺活檢程序的一次性訓練工具和練習媒介。CIRS 074甲狀腺超聲訓練模體還可用作識別各種類型甲狀腺結節和正確甲狀腺掃描技術培訓的教學工具。
美國CIRS 074甲狀腺超聲訓練模體簡介:
甲狀腺結節發生在世界50%的人口中,發病率隨年齡增長而增加。甲狀腺超聲引導下的活組織檢查產生比自由手技術更準確的結果。
CIRS 074甲狀腺超聲訓練模體是超聲引導甲狀腺活檢程序的一次性訓練工具和練習媒介。CIRS 074甲狀腺超聲訓練模體還可用作識別各種類型甲狀腺結節和正確甲狀腺掃描技術培訓的教學工具。
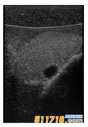
CIRS 074甲狀腺超聲訓練模體包含一個略微擴大的甲狀腺,位于一個擬人化的頸部。下巴和鎖骨被提供作為外部解剖標志。體模提供氣管,頸內靜脈和頸總動脈作為內部解剖標志。每個甲狀腺葉包含一個囊腫和一個等回聲僵硬病變。可以在甲狀腺內定制生產各種結節。*有材料都配制成超現實的。
模體可以多次穿刺,不會泄漏,不需要特殊存儲。
甲狀腺訓練幻影創造了一個輕松的學習環境,以發展技能。
美國CIRS 074甲狀腺超聲訓練模體特征:
訓練如何進行甲狀腺超聲檢查
練習超聲引導活檢程序
內部和外部解剖標志
超聲波逼真的材料
略微擴大的甲狀腺包含單個囊腫和每個葉中的一個等回聲,僵硬的病變。
可以對每個囊腫進行細針抽吸。每個僵硬病變都設計用于超聲彈性成像的可視化,并且可以進行活組織檢查。這些病變對甲狀腺是等回聲的并且具有標準的B模式成像。
代表大小為6-15厘米的腺癌,鈣化或乳頭狀癌的結節僅可通過定制要求獲得。

單純囊腫
美國CIRS 074甲狀腺超聲訓練模體產品規格:
| 產品規格 | |
| 整體尺寸 | 31厘米x 32.5厘米(12.2英寸x 12.8英寸) |
| 幻影重量 | 3.5千克(9.4磅) |
| 物料 | Zerdine ?的專有彈性體鋼骨 |
| CIRS 074包含 |
|
| CIRS 074包括 |
|